Iz članka, saznaćete:
- Šta je epilepsija
- Šta su epileptični napadi
- Koji su simptomi epilepsije
- Koji su upozoravajući znaci za epileptični napad
- O Uzrocima epilepsije
- O okidačima epileptičnih napada
- Dodatnim faktorima rizika za nastanak epilepsije
- Šta uključuje uspešna dijagnoza epilepsije
- Kako se leči epilepsija
- Koji su lekovi uključeni u tretman epilepsije
- O primeni Hirurgije u tretmanu epilepsije
- Komplikacijama epilepsije
Šta je epilepsija?
Epilepsija je neurološka bolest koja uzrokuje ponavljajuće epileptične napade. Javlja kod oba pola, kod ljudi različite starosti, rasne i etničke strukture.
Epileptični (Epi napadi) su iznenadni, privremeni poremećaji neuronske aktivnosti u mozgu, koji uzrokuju različite simptome, uključujući grčeve, mogući gubitak svesti i neuro-psihijatrijske manifestacije.
Epileptični napadi mogu varirati u intenzitetu, trajanju i ispoljenim simptomima, u zavisnosti od područja mozga koje je pogođeno i težine poremećaja.
Dobiti jedan epileptični napad, ne znači imati epilepsiju
Sumnja na epilepsiju se javlja ukoliko postoje najmanje dva epileptična napada, koja nemaju jasan uzrok, a između kojih postoji najmanje 24 sata razlike u javljanju.
Kod nekih ljudi, epilepsija je prolazna. Na primer kod dece, neke forme epilepsije prolaze sa rastom.
Međutim, kod većine obolelih, epilepsija je hronična i zahteva uzimanje terapije čitav život i konstantno praćenje, kako bi se postigla najbolja kontrola napada i time poboljšao kvaliteta života, kako obolelih, tako i članova njihovih porodica.
Koji su simptomi epilepsije i epileptičnog napada?
Simptomi epilepsije se ispoljavaju tokom epileptičnih napada koji traju od nekoliko sekundi, do maksimalno 2 do 5 minuta. Ako znamo da epileptični napad može da nastane u bilo kojoj regiji mozga, time se objašnjava činjenica da je simptomatologija napada vrlo raznolika.
Ipak, neki od simptoma koji se najčešće javljaju pri epileptičnom napadu su:
• Prolazna konfuznost;
• Kratkotrajno zagledavanje, sa nemogućnošću komunikacije;
• Ukočenost (grčenje) mišića tela, uključujući trzanje delova tela, najčešće ruku i nogu;
• Ritmični treptaji očnih kapaka;
• Prolazni gubitak svesti. Mnogi epileptički napadi dovode do gubitka svesti ili suženja svesti. Osoba može izgledati dezorijentirano, konfuzno ili odsutno.
• Nagli psihološki simptomi kao što su: neobjašnjiv strah ili fenomen “deža vu”, koji se ponavlja.
Upozoravajući znaci za epileptični napad
Ovi upozoravajući simptomi koji prethode napadu, označavaju se terminom epileptična aura.
- Mogu biti ispoljeni u vidu osećaja: nelagodnosti u stomaku, emocionalnih pražnjenja, straha, fenomena “deža-vu”, osećaja izmenjenog ukusa i mirisa.
- Mogu biti vizuelni simptomi, koji su konstantni ili u vidu: bliceva, različitih oblika i boja.
- Neki osećaju nestabilnost ili gubitak ravnoteže, dok se kod drugih javljaju i vizuelne halucinacije.
Vrste epilepsije
Postoji više tipova epilepsije. Epileptični napadi mogu da se podele na parcijalne (fokalni) i generalizovane epileptične napade.
Fokalni epileptični napad
Fokalni epileptični napad, takođe poznat i kao parcijalni epileptični napad, je tip epileptičnog napada koji počinje u ograničenom području mozga, poznatom kao “fokus”.
Ovi napadi mogu uticati samo na određeni deo tela, u zavisnosti od lokaciji fokusa u mozgu.
Postoje dva tipa fokalnog epileptičnog napada:
Fokalni napad bez gubitka svesti – nema gubitka svesti, osoba ima kratkotrajne epizode poremećenih emocija, percepcije okoline, izmene u mirisu, ukusu, osećaju dodira, prisutan fenomen “deža vu”.
Mogu postojati nevoljni trzajevi delova tela, kao i kratkotrajne epizode trnjenja delova tela, bleštavih svetala ili nestabilnosti.
Fokalni napad sa gubitkom svesti – u ovom tipu napada pacijenti nisu svesni, mogu biti u stanju kao da sanjaju, da budu dezorijentisani, ne odgovaraju na stimuluse iz okoline, mogu da izvode ponavljajuće pokrete, kao što je trljanje prstiju, žvakanje, gutanje ili šetanje u krug.
Simptomi fokalnog napada mogu se pomešati sa simptomima drugih neuroloških poremećaja, ukoliko ih pacijent ima, kao što su migrena ili narko-lepsija ili pak sa psihijatrijskim bolestima.
Generalizovan epileptični napad
To je napad, kod kojeg nekontrolisana električna (neuronska) pražnjenja zahvataju sve delove mozga.
Postoje različiti tipovi generalizovanog epileptičnog napada:
Apsansni epileptični napad – Tipično se javlja kod dece. Manifestuju se kao zagledavanje i prostor sa ili bez diskretnih pokreta tela.
Pokreti mogu uključivati treptanje ili mljackanje, koji traju 5 do 10 sekundi.
Ovakvi napadi mogu da se gomilaju u jednom periodu, ponavljaju se do 100 puta dnevno, dovodeći do kratkotrajnih odsutnosti osobe.
Toničko-klonički napad – je najdramatičniji i najpoznatiji vid epileptičnih napada. Manifestuju se iznenadnim gubitkom svesti, kočenjem i trzanjem delova tela. Nekada dolazi do umokravanja, ugriza jezika i pojave pene na ustima.
Tonički napad – dovodi do ukočenosti mišića leđa, ruku i nogu, gubitka svesti i pada na zemlju.
Atonički napad – zove se još i „napad pada“, dovode do gubitka mišične kontrole. Najčešće zahvata mišiće noge i dovodi do pada.
Klonički napad – karakteriše se ponavljanim i ritmičkim trzajevima mišića. Zahvata vrat, lice i ruke.
Mioklonički napad – javljaju se kao iznenadni, kratki, trzajevi delova tela. Obično zahvataju gornji deo tela, ruke i noge.
Uzroci epilepsije
Epilepsija može biti uzrokovana različitim faktorima, uključujući genetske predispozicije, traume glave, moždane tumore, infekcije mozga, razvojne poremećaje ili neurološke poremećaje i dr.
Genetike predispozicije
Neki tipovi epilepsije se prenose među članovima porodice. Postoje određeni geni koji su vezani za određeni tip epilepsije, pri tome, određeni geni čine osobu osetljivijom na uticaj spoljnih faktora, koji su okidači epileptičnih napada.
Promene u samom mozgu
Promene kao što tumori mozga, arterijsko-venske anomalije ili moždani udar mogu biti uzrok epilepsije.
Infekcije
Infekcije kao što su: meningitis, HIV, encefalitis i neke parazitarne infekcije mogu uzrokovati epilepsiju.
Povreda mozga pri rođenju
Ovakve povrede mozga bebe mogu biti uzrokovane infekcijom majke, slabom ishranom bebe i majke i nedostatkom kiseonika tokom trudnoće i/ili na porođaju. Ovakvo stanje dovodi do epilepsije i dečije cerebralne paralize.
Razvojna stanja
Epilepsija je kod osobe sa prisutnim razvojnim poremećajima iz segmenta autističnog spektra, češća.
Okidači epileptičnih napada
Epileptični napadi mogu biti provocirani stvarima iz spoljne okoline. Ovi činioci iz okoline nisu uzročnici epilepsije, ali mogu okidači za epileptične napade kod predisponiranih osoba.
Mogući okidači epileptičnih napada su:
• Prekomerno konzumiranje alkohola;
• Jaka i blinkajuća svetla;
• Stimulativne droge i lekovi;
• Preskakanje doza antilepileptipčnih lekova, koji su propisani;
• Nedostatak sna;
• Hormonske promene;
• Stres;
• Dehidratacija organizma;
• Preskakanje obroka;
• Neka druga bolest, kao što su infekcije.
Dodatni faktori rizika za nastanak epilepsije
Određeni činioci i stanja mogu povećati rizik od nastanka epilepsije, a to su:
Starosna dob – I ako se može javiti u bilo kojoj životnoj dobi, epilepsija se najčešće javlja kod dece i starijih odraslih osoba.
Porodična istorija epilepsije – ukoliko u porodici postoje članovi oboleli od epilepsije, postoji povećan rizik i da će njihovi potomci oboleti.
Povrede glave – često su faktor rizika za nastanak povreda mozga, koje onda uzrokuju nastanak epilepsije.
Moždani udar i druga vaskularna oboljenja – najčešći uzrok epilepsije kod ljudi starijih od 35 godina, otuda je važno redukovati faktore rizika za nastanak moždanog udara.
Demencija – povećava rizik od nastanka epilepsije kod starijih odraslih osoba.
Infekcije mozga – Oboljenja kao što su meningitis i encefalitis povećavaju rizik od nastanka epilepsije.
Febrilne konvulzije u detinjstvu – Povišena telesna temperatura kod male dece, nekada dovodi do epileptičnih napada. Jedna kratkotrajna epizoda, ne znači da će se kasnije razviti epilepsija. Rizik raste ako se ponavljaju febrilne konvulzije, ako su produžene, ili ako postoji drugo oboljenje mozga.
Uspešna dijagnoza epilepsije
Dijagnoza epilepsije se postavlja na osnovu detaljne medicinske istorije pacijenta, neurološkog pregleda, različitih dijagnostičkih testova i stručne procene simptoma od stane neurologa.
Dijagnoza epilepsije se bazira pre svega na detaljnom razgovoru neurologa sa pacijentom i drugim svedocima epileptičnih napada, koji su posebno značajni, jer često pacijent nije svestan šta se dešavalo tokom epileptičnog napada.
Neurologu je važno da prikupi sve informacije o vašim simptomima, kao i o eventualnim prethodnim napadima. Bitno je da budete što precizniji kada opisujete svoje simptome, uključujući detalje poput vrste, učestalosti i dužine napada.
Nakon razgovora sledi detaljan neurološki pregled kako bi eventualno identifikovale moguće neurološke abnormalnosti, koje bi mogle biti povezane sa epilepsijom.
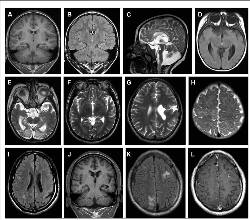
Od dodatnih dijagnostičkih metode kod epilepsije, najvažniji su: Magnetna rezonanca mozga i Elektroencefalografija (EEG).
Magnetna rezonanca mozga (MRI) treba uvek da se uradi prema definisanom protokolu za epilepsiju, što neurolog savetuje radiologu ili neuroradiologu, posle obavljenog neurološkog pregleda.

Postoje neke tipične promene na magnetnoj rezonanci mozga, koje su povezane sa određenim tipovima epilepsije.
Elektroencefalografija (EEG) je snimanje koje beleži električne aktivnosti mozga, putem površnih elektroda postavljenih na skalpu. EEG može pomoći u registrovanju abnormalnih električnih pražnjenja, tipični za epileptične napade.

Naravno, za postavljanje precizne dijagnoze epilepsije, često su potrebna i različita laboratorijska, nekada i genetska ispitivanja, kako bi isključili drugi mogući uzroci napada, poput tumora mozga ili metaboličkih poremećaja.
Lečenje epilepsije
Nakon što su svi rezultati testova analizirani, neurolog će moći da postaviti dijagnozu epilepsije i da započne odgovarajući tretman lečenja, kako bi se kontrolisali epileptični napadi.
Mogući tretmani lečenja epilepsije uključuju:
• Antiepileptične lekove;
• Hirurški tretman;
• Terapijske procedure u kojima se korišćenjem određenih uređaja stimuliše mozak;
• Ketogena dijeta.
Lekovi za tretman epilepsije
Ima preko 20 različitih lekova za kontrolu epileptičnih napada. Većina obolelih od epilepsije prestaje da ima epileptične napade sa uzimanjem jednog antiepileptičnog leka.
Odabir leka zavisi od tipa napada, pola obolelog, neželjenih efekata koje lekovi proizvode, kao i mogućih interakcija sa lekovima za druge oblasti, jer je
interakcije antiepileptičnih lekova sa drugim lekovima su dosta česte.
Uspešnost prepisane terapije zavisi od: adekvatnog izbora leka, adekvatne doze, redovnog uzimanja terapije, kao i neželjenih efekata lekova.
Oko polovine pacijenata biće bez epileptičnih napada sa jednim dobro odabranim lekom.
Ako se ne uspostavi kontrola epileptičnih napada sa dva ili više lekova, u terapiji govorimo o farmako-rezistentnoj epilepsiji, koja je predmet hirurškog lečenja.
Hirurgija u tretmanu epilepsije
Ovakav način lečenja primenjuje se kod farmako-rezistentne epilepsije, kada se zna da je epilepsija uzrokovana u tačno određenom, malom regionu mozga.
Pri tome, proces dokazivanja ovog regiona može biti vrlo zahtevan i dugotrajan.
Dodatno, izuzetno je bitno za hirurgiju epilepsije, je da smo sigurni da zahvat neće da ošteti neke od vitalnih funkcija mozga kao što su: govor, jezičke funkcije, motorika, vid i sluh.
Komplikacije epilepsije
Imati epilepsiju znači nositi određene rizike po zdravlje, kako za samu osobu, tako i za osobe u njenoj okolini, zbog nepredviđenih događaja povezanih sa epileptičnim napadima, kao što su:
Padovi – koji nose rizik od povreda glave, preloma kostiju;
Davljenje – osobe koje imaju epilepsiju imaju oko 15 puta veću šansu od davljenja tokom plivanja ili kupanja, u odnosu na ljude bez epilepsije.
Saobraćajne nezgode – Pojava epileptičnog napada tokom vožnje neminovno dovodi do saobraćajnog udesa, sa manjim ili većim posledicama.
Zbog toga osobe sa epilepsijom imaju nemogućnost upravljanja motornim vozilom, ukoliko njihova bolest nije pod kontrolom više godina.
Problemi sa spavanjem – češći su kod osoba koje imaju epilepsiju.
Komplikacije u trudnoći – pojava epileptičnih napad tokom trudnoće, nosi rizik i za majku i za plod. Određeni antiepileptični lekovi mogu dovesti do oštećenja ploda, otuda je potrebo pažljivo planiranje trudnoće kod osoba koje imaju epilepsiju.
Uz adekvatan plan i kontrolu, većina žena sa epilepsijom može roditi zdravu decu.
Gubitak pamćenja – kod nekih tipova epilepsije postoji produženi gubitak pamćenja.
Emocionalni problemi i psihijatrijska oboljenja – ova stanja mogu biti povezana sa samom epilepsijom, kao i sa lekovima koji se uzimaju.
Najčešće se javljaju: depresija, anksioznost, suicidne misli i ponašanja.
Epileptični status – to je urgentno stanje, kada epileptični napad traje duže od 5 minuta, ili ako epileptični napad traje kraće, ali se osoba ne vraća svesti do sledećeg epileptičnog napada.
Iznenadna, neobjašnjena smrt u epilepsiji (SUDEP) – ne javlja se često, nije jasan uzrok, veruje se da je uzrok poremećena funkcija pluća i srca.
Osobe sa čestim toničko-kloničkim napadima ili osobe čiji napadi nisu kontrolisani lekovima, imaju veći rizik od ovog stanja. U celini, oko 1% osoba sa epilepsijom umire zbog SUDEP-a.
ZAKLJUČAK
Na kraju, važno je istaći da uspešno postavljanje dijagnoze epilepsije, a zatim lečenje i upravljanje epilepsijom, zahteva tesnu saradnju između pacijenta i medicinskog tima kome je pacijent ukazao poverenje.
SAZNAJ VIŠE
Moždani udar (Šlog) – Sve što je potrebno da znate o uzrocima ovog stanja i lečenju:

Tekst napisan u saradnji sa dr Miodragom Manigoda – lekar specijalista neurologije.



